![]() |
MTBの大先生の金澤喜八郎さんと自転車旅行に行こうと決めた。2002には韓国へ行こうかと。そのためには体力をつけなければ。ということで、二人は体力のチェックをする事になった。 場所は天王寺にある「市民健康づくり相談センター」 9時過ぎの受付が始まり、血液検査や問診などから検査は進められていった。 ここでわかったことは、私の骨量検査の結果は若者と等しいということ。それに反して、運動神経は、Dクラス。 |
|||||||||||||||||||||||
![]() |
||||||||||||||||||||||||
![]() |
![]() |
|||||||||||||||||||||||
| 前川寿子指導士から、進行の説明があった。 | ||||||||||||||||||||||||
| 検診を受ける人に渡される、カード(袋)。 各自番号が決まる。私は6番だ。金澤さんは5番。 |
||||||||||||||||||||||||
| 体重や身長などを測定。 | ||||||||||||||||||||||||
![]() |
||||||||||||||||||||||||
![]() |
||||||||||||||||||||||||
| 問診、金澤さんと私には前川さんがあたった。 | 心電図をはかって。 | |||||||||||||||||||||||
![]() |
![]() |
|||||||||||||||||||||||
![]() |
||||||||||||||||||||||||
| 体力測定。始めるに当たって、以前の怪我などをチェック。 | どのぐらい高く飛び上がれるか。 | |||||||||||||||||||||||
![]() |
片足でどのぐらい立っていられるか。 | ![]() |
||||||||||||||||||||||
| 左右に、どれぐらい早く、動けるか。金澤さんは運動神経がすばらしい。 | ||||||||||||||||||||||||
![]() |
![]() |
|||||||||||||||||||||||
| 館内は、スポーツ施設がいろいろとある。 | ||||||||||||||||||||||||
| 聴診器を当て、検査。 | ![]() |
|||||||||||||||||||||||
![]() |
![]() |
|||||||||||||||||||||||
| 金澤さんと私は骨量検査を受けた。 | ||||||||||||||||||||||||
| 運動負荷心電図の測定のための説明。 | 心電図をチェックのための準備。 | |||||||||||||||||||||||
![]() |
![]() |
|||||||||||||||||||||||
![]() |
||||||||||||||||||||||||
| 待つ間には、雑誌などに目をとおす。 | ||||||||||||||||||||||||
| 測定器の方にはデータが伝わってくる。 | ||||||||||||||||||||||||
![]() |
||||||||||||||||||||||||
| 配線がつけられた。 | ||||||||||||||||||||||||
![]() |
||||||||||||||||||||||||
![]() |
||||||||||||||||||||||||
| 脈拍の音を聞きながら、血圧も測る。 ここで金澤さんが血圧が思ったより高いことがわかった。 |
||||||||||||||||||||||||
![]() |
||||||||||||||||||||||||
![]() |
![]() |
|||||||||||||||||||||||
| 血圧など、数字があらわれる。 | ||||||||||||||||||||||||
| いよいよ、判定結果が。 | ||||||||||||||||||||||||
![]() |
||||||||||||||||||||||||
![]() |
![]() |
|||||||||||||||||||||||
| 出雲谷先生からいろいろと、結果に対しての、アドバイスを受ける。 | ||||||||||||||||||||||||
![]() |
金沢さん、真剣に聞き入る。 | |||||||||||||||||||||||
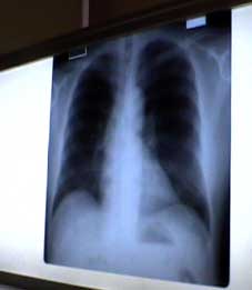
| 私のレントゲン写真、きれいなもんだ。 | ||||||||||||||||||||||||
![]() |
||||||||||||||||||||||||
![]() |
||||||||||||||||||||||||
| 来年にも、健康な姿を維持して、来るようにと、出雲谷先生。 「ホームページ」見ますよ。 |
||||||||||||||||||||||||
| 食生活は正しいか、アドバイスを聞いた。 私の食生活は改善をしないと。 |
||||||||||||||||||||||||
![]() |
||||||||||||||||||||||||
|
すべてのスケジュールを終えて、すがすがしく、センターを後にする金澤さん。
|
||||||||||||||||||||||||
| 結果はこのようにコンピュータから打ち出される。 私の腰推骨密度は1.045?K/?C。 平均値と比較して108%。 私の骨は若い。 |
||||||||||||||||||||||||
感想などは:ko@inbong.com